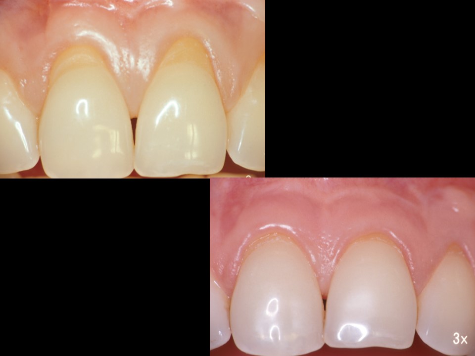
greffe gingivale 1 Publié 25 août 2015 à 960 × 720 dans greffe gingivale 1 Recouvrement de récessions gingivales avant et après greffe gingivale 1 ← Précédent Suivant →